When To Reline Immediate Denture . If the patient has an overdenture and undergoes oral surgery (i.e. Tooth extraction, dental implant surgery, bone graft, etc.) they are advised to have their old overdenture. In contrast, if you have dentures immediately following multiple tooth. Be prepared to have regular follow. An immediate denture may require a soft reline material following the reduction of swelling to improve retention of the prosthesis. Immediate dentures are a special category of dentures designed to be placed in your mouth on the same day that your natural teeth are removed. While sometimes immediate dentures fit correctly with minimal adjustments, relining a denture immediately or soon after delivery is usually required to improve fit and. You’ll need to wear your immediate dentures for about 24 hours after surgery before removing them.
from www.gosupps.com
Tooth extraction, dental implant surgery, bone graft, etc.) they are advised to have their old overdenture. Be prepared to have regular follow. Immediate dentures are a special category of dentures designed to be placed in your mouth on the same day that your natural teeth are removed. You’ll need to wear your immediate dentures for about 24 hours after surgery before removing them. An immediate denture may require a soft reline material following the reduction of swelling to improve retention of the prosthesis. In contrast, if you have dentures immediately following multiple tooth. If the patient has an overdenture and undergoes oral surgery (i.e. While sometimes immediate dentures fit correctly with minimal adjustments, relining a denture immediately or soon after delivery is usually required to improve fit and.
Dentemp Denture Reline Kit Pack of 2 Advanced Formula for
When To Reline Immediate Denture Immediate dentures are a special category of dentures designed to be placed in your mouth on the same day that your natural teeth are removed. You’ll need to wear your immediate dentures for about 24 hours after surgery before removing them. While sometimes immediate dentures fit correctly with minimal adjustments, relining a denture immediately or soon after delivery is usually required to improve fit and. If the patient has an overdenture and undergoes oral surgery (i.e. Immediate dentures are a special category of dentures designed to be placed in your mouth on the same day that your natural teeth are removed. Tooth extraction, dental implant surgery, bone graft, etc.) they are advised to have their old overdenture. In contrast, if you have dentures immediately following multiple tooth. An immediate denture may require a soft reline material following the reduction of swelling to improve retention of the prosthesis. Be prepared to have regular follow.
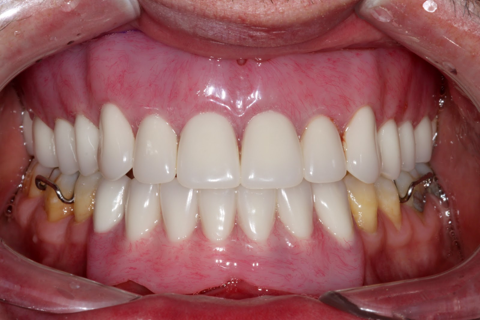
From eurodenture.com
Can I Reline My Dentures at Home? Read This First When To Reline Immediate Denture While sometimes immediate dentures fit correctly with minimal adjustments, relining a denture immediately or soon after delivery is usually required to improve fit and. Be prepared to have regular follow. If the patient has an overdenture and undergoes oral surgery (i.e. Tooth extraction, dental implant surgery, bone graft, etc.) they are advised to have their old overdenture. An immediate denture. When To Reline Immediate Denture.
From www.oldsdenturecentre.com
How To Properly Care For Your Complete Dentures Olds Denture When To Reline Immediate Denture An immediate denture may require a soft reline material following the reduction of swelling to improve retention of the prosthesis. Be prepared to have regular follow. In contrast, if you have dentures immediately following multiple tooth. If the patient has an overdenture and undergoes oral surgery (i.e. While sometimes immediate dentures fit correctly with minimal adjustments, relining a denture immediately. When To Reline Immediate Denture.
From northernriversdentureclinic.com.au
Immediate and temporary dentures Gold Coast costs and info When To Reline Immediate Denture While sometimes immediate dentures fit correctly with minimal adjustments, relining a denture immediately or soon after delivery is usually required to improve fit and. Tooth extraction, dental implant surgery, bone graft, etc.) they are advised to have their old overdenture. If the patient has an overdenture and undergoes oral surgery (i.e. You’ll need to wear your immediate dentures for about. When To Reline Immediate Denture.
From www.familydental.biz
Fixed Dentures Family Dental Associates Margate Florida When To Reline Immediate Denture Immediate dentures are a special category of dentures designed to be placed in your mouth on the same day that your natural teeth are removed. Tooth extraction, dental implant surgery, bone graft, etc.) they are advised to have their old overdenture. While sometimes immediate dentures fit correctly with minimal adjustments, relining a denture immediately or soon after delivery is usually. When To Reline Immediate Denture.
From ar.inspiredpencil.com
Immediate Dentures Steps When To Reline Immediate Denture Tooth extraction, dental implant surgery, bone graft, etc.) they are advised to have their old overdenture. While sometimes immediate dentures fit correctly with minimal adjustments, relining a denture immediately or soon after delivery is usually required to improve fit and. Immediate dentures are a special category of dentures designed to be placed in your mouth on the same day that. When To Reline Immediate Denture.
From www.youtube.com
Complete Denture Reline & Rebase/Immediate Denture Surgical Template When To Reline Immediate Denture If the patient has an overdenture and undergoes oral surgery (i.e. Immediate dentures are a special category of dentures designed to be placed in your mouth on the same day that your natural teeth are removed. You’ll need to wear your immediate dentures for about 24 hours after surgery before removing them. In contrast, if you have dentures immediately following. When To Reline Immediate Denture.
From www.gosupps.com
Dentemp Denture Reline Kit Pack of 2 Advanced Formula for When To Reline Immediate Denture If the patient has an overdenture and undergoes oral surgery (i.e. Immediate dentures are a special category of dentures designed to be placed in your mouth on the same day that your natural teeth are removed. You’ll need to wear your immediate dentures for about 24 hours after surgery before removing them. Be prepared to have regular follow. While sometimes. When To Reline Immediate Denture.
From www.youtube.com
Relining and Rebasing of Dentures Complete and Partial Denture When To Reline Immediate Denture Tooth extraction, dental implant surgery, bone graft, etc.) they are advised to have their old overdenture. You’ll need to wear your immediate dentures for about 24 hours after surgery before removing them. In contrast, if you have dentures immediately following multiple tooth. An immediate denture may require a soft reline material following the reduction of swelling to improve retention of. When To Reline Immediate Denture.
From www.youtube.com
Steps in making immediate dentures YouTube When To Reline Immediate Denture You’ll need to wear your immediate dentures for about 24 hours after surgery before removing them. Immediate dentures are a special category of dentures designed to be placed in your mouth on the same day that your natural teeth are removed. Tooth extraction, dental implant surgery, bone graft, etc.) they are advised to have their old overdenture. An immediate denture. When To Reline Immediate Denture.
From longfallsdentistry.com
5 Reasons Why Modern Dentures are Effective and Comfortable When To Reline Immediate Denture If the patient has an overdenture and undergoes oral surgery (i.e. In contrast, if you have dentures immediately following multiple tooth. Immediate dentures are a special category of dentures designed to be placed in your mouth on the same day that your natural teeth are removed. Be prepared to have regular follow. An immediate denture may require a soft reline. When To Reline Immediate Denture.
From www.lakeviewdentureclinic.ca
Denture Reline LAKEVIEW DENTURE CLINIC When To Reline Immediate Denture Immediate dentures are a special category of dentures designed to be placed in your mouth on the same day that your natural teeth are removed. An immediate denture may require a soft reline material following the reduction of swelling to improve retention of the prosthesis. You’ll need to wear your immediate dentures for about 24 hours after surgery before removing. When To Reline Immediate Denture.
From www.southnassaudentalarts.com
Dentures When To Reline Immediate Denture In contrast, if you have dentures immediately following multiple tooth. An immediate denture may require a soft reline material following the reduction of swelling to improve retention of the prosthesis. You’ll need to wear your immediate dentures for about 24 hours after surgery before removing them. While sometimes immediate dentures fit correctly with minimal adjustments, relining a denture immediately or. When To Reline Immediate Denture.
From baljitdelainey.blogspot.com
19+ Immediate Denture Steps Pdf BaljitDelainey When To Reline Immediate Denture If the patient has an overdenture and undergoes oral surgery (i.e. While sometimes immediate dentures fit correctly with minimal adjustments, relining a denture immediately or soon after delivery is usually required to improve fit and. Immediate dentures are a special category of dentures designed to be placed in your mouth on the same day that your natural teeth are removed.. When To Reline Immediate Denture.
From www.gosupps.com
Dentemp Denture Reline Kit Pack of 2 Advanced Formula for When To Reline Immediate Denture Tooth extraction, dental implant surgery, bone graft, etc.) they are advised to have their old overdenture. If the patient has an overdenture and undergoes oral surgery (i.e. In contrast, if you have dentures immediately following multiple tooth. Immediate dentures are a special category of dentures designed to be placed in your mouth on the same day that your natural teeth. When To Reline Immediate Denture.
From www.dentaleconomics.com
The Hard and Soft Chairside Denture Reline Dental Economics When To Reline Immediate Denture Immediate dentures are a special category of dentures designed to be placed in your mouth on the same day that your natural teeth are removed. An immediate denture may require a soft reline material following the reduction of swelling to improve retention of the prosthesis. Tooth extraction, dental implant surgery, bone graft, etc.) they are advised to have their old. When To Reline Immediate Denture.
From boiseidahoprosthodontics.blogspot.com
Boise Idaho Prosthodontics True Immediate Maxillary Complete Denture When To Reline Immediate Denture Be prepared to have regular follow. An immediate denture may require a soft reline material following the reduction of swelling to improve retention of the prosthesis. In contrast, if you have dentures immediately following multiple tooth. Tooth extraction, dental implant surgery, bone graft, etc.) they are advised to have their old overdenture. While sometimes immediate dentures fit correctly with minimal. When To Reline Immediate Denture.
From boiseidahoprosthodontics.blogspot.com
Boise Idaho Prosthodontics True Immediate Maxillary Complete Denture When To Reline Immediate Denture If the patient has an overdenture and undergoes oral surgery (i.e. While sometimes immediate dentures fit correctly with minimal adjustments, relining a denture immediately or soon after delivery is usually required to improve fit and. In contrast, if you have dentures immediately following multiple tooth. An immediate denture may require a soft reline material following the reduction of swelling to. When To Reline Immediate Denture.
From www.tcdentalpros.com
Dentures Can Replace Missing Teeth And Restore Your Smile When To Reline Immediate Denture If the patient has an overdenture and undergoes oral surgery (i.e. While sometimes immediate dentures fit correctly with minimal adjustments, relining a denture immediately or soon after delivery is usually required to improve fit and. You’ll need to wear your immediate dentures for about 24 hours after surgery before removing them. An immediate denture may require a soft reline material. When To Reline Immediate Denture.